Abstracts

Extreme Delta Brush in a Patient with Juvenile Huntington’s Disease

Abstract number : 2.147
Submission category : 18. Case Studies
Year : 2025
Submission ID : 276
Source : www.aesnet.org
Presentation date : 12/7/2025 12:00:00 AM
Published date :

Authors :
Mingyu Li, MD – Wellstar MCG Health
Presenting Author: Brandon Pope, MD, PHD – Wellstar MCG Health

Renie George, MD – Emory
Debra Moore-Hill, MD, MPH – Wellstar MCG Health
Amir Mbonde, MD – Wellstar MCG Health
John Morgan, MD, PhD – Wellstar MCG Health
Danielle Weiss, MD – Wellstar MCG Health

Rationale:

Approximately 4-10% of all Huntington’s disease cases are Juvenile-onset Huntington’s disease (JHD), in which symptom onset begins prior to 21 years of age.  Earlier age of JHD onset is associated with an increased risk for epilepsy, and seizures are reported in about 38% of JHD patients. Seizure types which have been reported in JHD patients include generalized tonic-clonic, tonic, myoclonic, and focal seizures with impaired consciousness.  Electroencephalogram (EEG) findings reported in JHD patients are similarly variable and have included generalized, focal, and multifocal spike and slow waves.  Photoparoxsymal response (PR) and extreme delta brush (EDB), characterized as rhythmic delta activity with superimposed beta activity, are electrographic findings more commonly associated with Juvenile Myoclonic Epilepsy and anti-NMDAR encephalitis respectively. Here we report a patient with JHD, who had both EEG findings of PR and EDB.  



Methods:

Consent was obtained from the patient’s guardian. The patient’s records from 01/2015 – 01/2024 were reviewed.



Results:

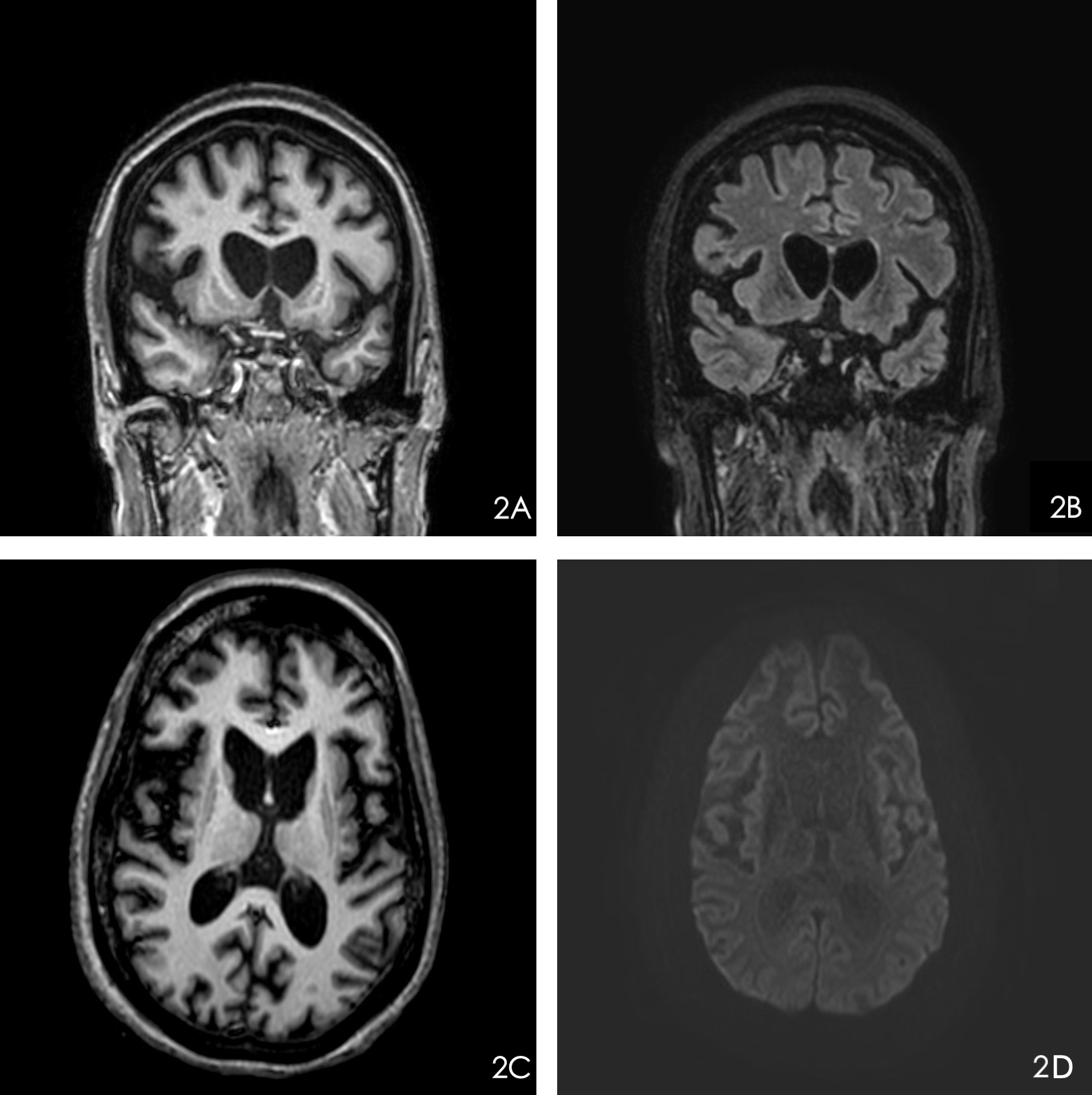
JE was a 30-year-old female with a paternal history of Huntington’s disease and was diagnosed with JHD at 19 years old, which was later confirmed by genetic testing. At her initial diagnosis, she had upper extremity chorea impairing her fine motor skills. The disease progressed to cause frequent falls, cognitive dysfunction, hypophonia, and orofacial dystonia. Epilepsy started at 20 years old, and she developed multiple seizure types, including: tonic-clonic seizures, seizure with impaired consciousness, and myoclonic seizures. She was longitudinally monitored with EEG and was found to have electrographic abnormalities, including: generalized spike and polyspike and slow wave discharges; myoclonic seizures; PR (Figure 1a); and EDB (Figure 1b). Her MRI brain without contrast showed severe bilateral caudate atrophy, diffuse cortical atrophy, and frontally predominant cortical diffusion restriction in the context of a recent seizure (Figure 2).  Despite treatment with multiple anti-seizure medications, her seizures remained medically refractory. Due to her progressive neurological deterioration, she was ultimately transitioned to hospice.



Conclusions:

To our knowledge, this is the first report of PR and EDB in the same JHD patient. PR is thought to be generated from cortical hyperexcitability in response to intermittent photic stimulation and has been reported in only one other JHD case. The pathophysiology of EDB is similarly thought to be from a combination of a cortically generated beta component but also with a subcortically generated delta component. Imbalance of cortical and subcortical activity seen in this patient with JHD could be due to atrophy of striatal and cortical structures seen in this patient, which led to EDB. This case highlights the presence of EDB in a patient with JHD; supports EDB is not exclusive to immune-related disorders, such as anti-NMDAR encephalitis and febrile infection-related epilepsy syndrome; and underscores that JHD affects cortical as well as subcortical regions.



Funding: None

Case Studies